Scam alert: Ads or websites claiming Medsafe approval are fake. Medsafe does not endorse products. Go to medsafe.govt.nz for official information.
Pacemaker | Pūrere whakakapa manawa
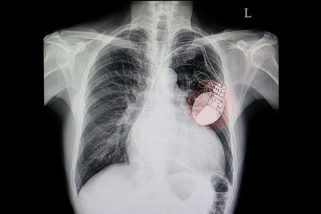
Pacemaker
Key points about pacemakers
- A pacemaker (pūrere whakakapa manawa) is a small device designed to help your heart beat regularly.
- It contains a long-lasting battery and an electronic circuit sealed in a metal case.
- The pacemaker sits under your skin and produces an electrical impulse, which is sent directly to the heart muscle by one or two leads.
- When the impulse reaches the heart muscle, it causes the heart to beat.
Your heart beats regularly at varying rates depending on your body's needs. However, if your heart beats too slowly, it may cause you to feel light-headed or breathless. Some people experience blackouts. These slow heartbeats are called arrhythmias and can be due to damage to the heart's electrical conducting system.
The pacemaker may do 1 or more of the following:
- Control the rate at which the heart beats.
- Restore "communication" between the atria and ventricles, coordinating their contractions.
- Increase the heart rate, when required, in response to physical activity demands.
When your heart is beating normally, the pacemaker won't be activated. It only activates when your heart rate is too slow.
The pacemaker rate can be reprogrammed to meet your needs. This is done via an external device that communicates with the pacemaker. The pacemaker can also be programmed not to activate at times when your heartbeat would normally slow down, eg, when sleeping.
There are several types of pacemaker available, and your heart doctor (cardiologist) will discuss the different options with you to decide which is the most suitable.
Pacemakers are normally implanted (put in place) in hospital as a day stay or overnight stay. Before the procedure you may be given a light sedative to help you relax. Local anaesthetic will be injected to numb the area where the pacemaker will be inserted.
The pacemaker leads are inserted into a vein below your collarbone and passed along this vein into your heart. The leads are then attached to the inside of the heart wall. The leads are tested and connected to the pacemaker. The pacemaker is then implanted under your skin, below your left or right shoulder. The procedure normally takes about one hour, although this can vary.
Your cardiac physiologist will then check and programme your pacemaker to best suit your individual needs.
Image credit: Canva
What happens afterwards?
Once your pacemaker has been checked, you will usually be sent home within 6 to 24 hours. You may experience some discomfort and bruising around your pacemaker site. Discomfort can be relieved with regular paracetamol.
Before going home, your doctor/nurse/cardiac physiologist will talk to you about how to care for the pacemaker site, including keeping it dry for 1 week. You will also be given a pacemaker information booklet. It's important that you read this booklet and discuss any queries during the appointment.
Regular follow-ups will be arranged by your local pacemaker clinic to ensure the pacemaker continues to function appropriately.
The modern pacemaker is very reliable and you won't notice it working. If you have any concerns about your new pacemaker or wound, it's important you contact your local pacemaker clinic immediately.
Most pacemaker batteries last between 8 and 10 years. At each pacemaker clinic appointment the battery will be checked and an estimate of how long it will last will be given. When the pacemaker gets near the manufacturer's recommended replacement time a replacement will be scheduled. Replacing the battery requires a local anaesthetic and is generally a very brief procedure performed as a day case at the hospital.
It takes a few weeks for the pacemaker wires to become fully secure. For this reason, heavy lifting and activities that require you to lift your arm above shoulder height should be avoided. There is usually a 2 week stand down from driving as well. Your healthcare provider will advise on when you can start to drive again. In general, after 4–6 weeks you should be able to build up to your normal living activities, including work and travel.
While most electrical appliances won't affect your pacemaker, the following equipment may interfere with a pacemaker's electronic system. Advice should be sought from the pacemaker clinic before using them.
Devices and equipment:
- Medical tests, such as magnetic resonance imaging (MRI) or radiotherapy, can occur if you have a pacemaker. However, your healthcare team will need to discuss them with the pacemaker clinic.
- Magnetic bracelets and mattresses or chairs shouldn't be used by people with pacemakers.
- The motors on power tools (eg, chain saws) should be more than 30cm away from your pacemaker.
- When working on car ignition systems, make sure your pacemaker is more than 30cm away from the running motor.
- Electric arc welders should be discussed with the pacemaker clinic. They can provide instructions on how to use them safely.
- Some high power radar or electrical installations will have safety notices asking people with pacemakers to avoid the area. Please follow these instructions.
- Cell phones should be kept at least 6 inches (15cm) away from your pacemaker.
In general, prior to any treatment you should advise all health professionals that you have a pacemaker fitted. You may be required to have a pacemaker check before and after some procedures or treatments.
If you're not sure about the effects of treatments, contact your local pacemaker clinic for advice. Your doctor will advise you about wearing a medical alert bracelet.
Pacemakers(external link) Heart Foundation of NZ
Pacemaker implantation(external link) Auckland Heart Group, NZ
Pacemaker – explained(external link) Watch, Learn, Live – Interactive Cardiovascular Library – American Heart Association
You and your pacemaker(external link) Heart Foundation, NZ
Management of atrial fibrillation in general practice(external link) Best Practice Journal, NZ, 2011
Electronic devices may affect pacemakers and other implanted medical devices(external link) BPAC, NZ, 2021
Need help now?
Credits: Original material provided by the Heart Foundation of New Zealand, January 2009
Reviewed by: Healthify editorial team. Healthify is brought to you by Health Navigator Charitable Trust.
Last reviewed:
Page last updated: