Scam alert: Ads or websites claiming Medsafe approval are fake. Medsafe does not endorse products. Go to medsafe.govt.nz for official information.
Fractures
Key points about fractures
- A fracture is a broken bone.
- Common causes of broken bones include injuries, weakened bones such as osteoporosis and overuse (stress fractures).
- There are many different types of fractures and they can be described in different ways.
- Symptoms include pain, swelling, tenderness, bleeding or bruising around the injured area.
- If you think you may have a broken bone, seek medical attention immediately.
- Treatment depends on the severity and type of fracture.
- a serious injury or accident
- can’t move after the injury
- bones breaking out of your skin
- severe pain
- a lot of bleeding
- confused, drowsy or unresponsive.
If you suspect someone has a broken neck, broken back or a head injury, don’t move them. It is important that you keep their head, neck and spine from moving.
The most common symptoms of a fracture include:
- intense and immediate pain
- swelling
- redness, bleeding, bruising and tenderness
- not being able to move or use the injured area
- tingling and numbness of the skin around or below the injured area
- the area looking out of shape or out of place
- possibly hearing or feeling your bone break.
Injuries to the head should always be treated seriously as there may be damage to the brain. Read more about head injuries.
If you come across someone who may have a broken bone, there are things you can do before medical help arrives.
- Find out if the person is bleeding or losing any blood. If they are bleeding, call 111 to ask for an ambulance and apply pressure directly on the wound. If you see exposed bones, apply pressure around the bone and not on top of the bone.
- Cover any wounds with a clean cloth or a clean piece of clothing.
- Try to make the person comfortable.
- Try to keep the injured part still and support it with a pillow, a blanket, soft towel or folded clothing.
- Raise an injured arm or leg above the level of the heart if possible, to reduce swelling.
- Don't give the person anything to eat or drink as they may need to have surgery.
- Get medical help. If the person doesn't need an ambulance, drive them to your nearest urgent care clinic or hospital emergency department.
If you are unsure what to do call Healthline on 0800 611 116 to ask for advice.
The bones in your body are strong and can withstand a lot of weight and force. They bend slightly when under pressure from an external force to prevent themselves from breaking. If this force is too strong, bones can break in the same way a plastic ruler snaps when it is bent that little bit too far.
Generally, a stronger force causes a more severe fracture. A weaker force, eg, a fall, may cause your bones to crack rather than break completely. If the force is very strong, eg, in a car crash, your bones may break into many pieces.
The following are the most common causes of broken bones:
- Injury or accident – a fall, car crash or tackle during a rugby game can put very strong force on your bones and break them.
- Osteoporosis – osteoporosis weakens your bones and increases your risk of fractures and broken bones. This means a mild force that wouldn't normally harm a healthy bone can break a weaker bone. This is also called a pathological fracture.
- Overuse – repeated movements can put pressure and stress on your bones and cause stress fractures. This is more common in athletes and people who do a lot of high impact sports such as running, basketball and gymnastics.
If you think you may have a broken bone, seek medical attention immediately.
Your doctor will assess your general condition, as well as your injury. They will ask questions about how the injury happened, any other symptoms and your past medical history. They will also examine your injured area to check for signs of fractures such as swelling, tenderness or whether your limb looks deformed or out of shape.
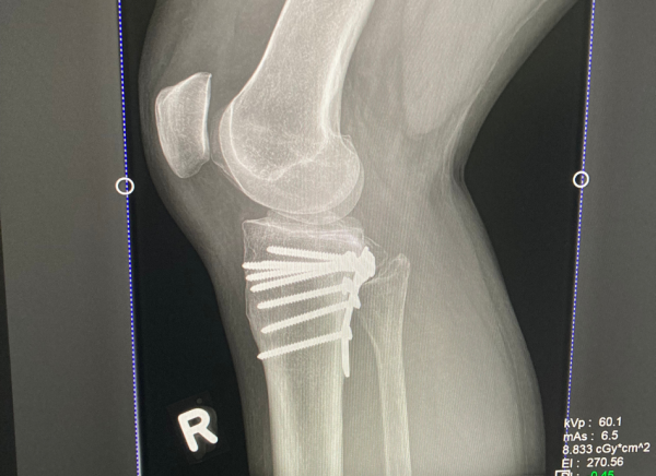
The most common way to diagnose a fracture is by an x-ray. An x-ray shows the type of fracture and its location within your bone. Sometimes an MRI or a CT scan may be needed.
The treatment you receive depends on the severity and type of fracture.
- A minor fracture may be held in place with a cast or splint.
- A more severe fracture may need surgery to insert pins, plates or screws to hold your bone in place.
Treatment aims to move your broken bone back to its original position (if it is displaced) and then hold it in place to allow healing. The process of moving your bone back to its original position is called reduction and holding your bone together (stopping it from moving) is called immobilisation.
Image credit: Healthify He Puna Waiora, NZ, 2023
Reduction
Reduction can be done with a general anaesthetic, which puts you to sleep while the procedure is being done. It can also be done with just sedation (medicine to make you sleepy) and pain relief if your fracture is not too displaced.
Immobilisation
Your bones can be held in place to allow healing by:
- a cast – a hard protective covering made from plaster or fibreglass
- a splint or a brace – a device used to protect and support your injured area (the hard part of a splint doesn’t go all the way around your limb to allow some movement)
- a sling – a device that is used to support your shoulder and arm.
Some fractures may not need reduction and immobilisation. For fractures that are caused by weakened bones (pathological fracture) and fractures that are caused by repetitive stress, treatment may also be different.
Other treatments
Your doctor may prescribe pain relief, depending on the severity of your pain, and antibiotics if you are at increased risk of developing an infection, such as with an open fracture. You may also be referred to a physiotherapist who can teach you specific exercises to reduce joint or muscle stiffness, regain muscle strength and modify your activity while your fracture is healing.
When your bones are put back into their original position, they can heal by forming new bone around the edge of the broken parts.
First, your body tries to protect the injured area by forming a blood clot around the fracture and sends nutrients for healing. Next, the blood clot is replaced by a soft type of bone called callus which closes the break and hardens over a few weeks. Finally, the callus is gradually replaced by new regular bone.
Video: How Broken Bones Heal
The video below provides more information about how fractures heal. This video may take a few moments to load.
There are things you can do to help with your recovery, including:
- following your doctor’s advice on what activity you can and can't do while your fracture is healing
- doing gentle exercises as advised by your doctor or physiotherapist
- keeping your cast dry (if you have a cast)
- stopping smoking – smoking reduces your body’s ability to heal
- taking pain relief medicines if you have any pain (ask your doctor or pharmacist if you are unsure which is suitable for you).
Read more about Fractures – recovery tips
Not all fractures can be prevented, but you can improve your bone health and reduce the risk of fractures by:
- doing regular weight-bearing exercise
- eating a balanced diet
- keeping alcohol to safe limits - less than two drinks per day and at least two alcohol-free days per week
- stopping smoking
- maintaining a healthy weight (aiming for BMI 20-25)
- getting enough vitamin D
- if you have had a fall in the past, ask your health professional for advice on falls prevention.
Read more tips to keep your bones healthy.
Apps reviewed by Healthify
You may find it useful to look at some Falls prevention apps and Osteoporosis apps.
Fractures can take a long time to heal, eg, many weeks or even months. Recovery time depends on your type of fracture, how serious it is and how closely you follow your doctor’s advice. Pain will normally stop long before your fracture is healed. However, it can take a much longer time for your fracture to be ready to cope with normal activities.
If there are complications, it may take a little longer to recover. Complications of fractures can be early or delayed.
Early complications include:
- damage to nearby tissues such as skin, nerves or blood vessels
- damage to nearby organs such as your lungs or bladder
- compartment syndrome – this is a condition where pressure builds up in the tissues around your broken bone, blood then can’t flow into that area properly, causing extreme pain. Compartment syndrome needs to be treated quickly.
- wound infection if it is an open fracture
- losing too much blood
- fat embolism – this happens when the long bone in your body releases fat globules when it is broken and causes blockage in your blood vessels. This condition is life-threatening and more common in long bones fracture such as your femur, tibia or pelvis.
- deep vein thrombosis or pulmonary embolism.
Delayed complications include:
- malunion – your fracture doesn’t heal properly and causes a deformity
- non-union – your fracture doesn’t heal at all
- delayed union – your fracture takes longer than usual to heal
- joint stiffness
- contractures
- osteoarthritis.
There are many different types of fractures and they can be described in different ways.
Fractures can be open or closed.
- An open fracture means your skin is also broken along with your fracture.
- Your skin may be punctured or pierced by your broken bones or get injured at the same time your bones are broken.
- This type of fracture has a higher chance of being infected.
- A closed fracture means your bones are broken but your skin is not broken.
Fractures can be displaced or non-displaced.
- A displaced fracture means your bones moved out of line from their original position.
- A non-displaced fracture means your bones have not moved out of place despite being broken.
Other types of fractures include:
- a transverse fracture – the break is straight across your bone
- an oblique fracture – the break is at an angle across your bone
- a spiral fracture – the break forms a spiral and twists around your bone
- a comminuted fracture – your bone breaks into 3 or more pieces
- a greenstick fracture – your bone only breaks on one side, this type of fracture only happens in children as their bones are soft.
The following links provide further information about fractures. Be aware that websites from other countries may have information that differs from New Zealand recommendations.
Broken bones (fractures)(external link)(external link) HealthInfo Canterbury, NZ
First aid – fractures and dislocation(external link)(external link) St John, NZ
Healthy bones at every age(external link)(external link) American Academy of Orthopaedic Surgeons, US
How broken bones heal(external link)(external link) OrthoInfo, US
Hip fracture(external link)(external link) NHS, UK
Fractures (broken bones)(external link)(external link) Bupa, UK
Dealing with fractures(external link)(external link) Patient Info, UK
Fracture (external link)(external link) KidsHealth NZ
Caring for your child's cast(external link)(external link) Starship Foundation NZ
Apps
Falls prevention apps
Osteoporosis apps
Resources
Cast care(external link) (external link)Starship, NZ, 2016
How do bones heal?(external link) (external link)Starship NZ
Recovering from a hip fracture(external link) (external link) ANZHFR and Health Quality & Safety Commission, NZ, 2021
References
- All acute fractures and injuries(external link)(external link) Auckland Regional HealthPathways, NZ, 2017
- Complications from fractures(external link)(external link) Patient Info, UK
- Fractures(external link)(external link) American Academy of Orthopaedic Surgeons, US
- Fractures(external link)(external link) Medline Plus, US
Brochures

Starship, NZ, 2016
Starship NZ
ANZHFR and Health Quality & Safety Commission, NZ, 2021
Need help now?
Credits: Healthify editorial team. Healthify is brought to you by Health Navigator Charitable Trust.
Reviewed by: Dr Alice Miller, FRNZCGP, Wellington
Last reviewed:
Page last updated: